Background
Quick links
Anaplasmosis / Ehrlichiosis in dogs
Anaplasmosis [an-a-plas-mo-sis] and Ehrlichiosis [ehr-lich-i-o-sis] are caused by Anaplasma and Ehrlichia species, which are members of the rickettsiae and are obligate intracellular coccobacilli. These organisms are predominantly transmitted from animal to animal by ticks. The species of Ehrlichia and Anaplasma that are generally recorded in pet animals are:
Ehrlichia canis
Ehrlichia ewingii
Ehrlichia chaffeensis
Anaplasma phagocytophilum
Anaplasma platys
Ehrlichia species
Anaplasma species
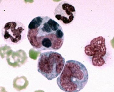
Ehrlichia canis seen with Wright’s stain buffy-coat smear
Ehrlichia equi and Ehrlichia phagocytophilum have more recently been reclassified as Anaplasma phagocytophilum.
After a tick transmits the different species of rickettsia, they enter the specific cells that their species parasitize. These cells are either macrophages (E. canis, E. chaffeensis), granulocytes (A. phagocytophilum, E. ewingii), or platelets (A. platys). Here they multiply and disseminate throughout the host.
Many animals with Ehrlichia and Anaplasma species appear to harbour subclinical infections. The clinical manifestations range from general loss of condition with intermittent fever to more organ-specific pathology, such as arthritis or eye problems.
For details on the signs and symptoms, diagnostic techniques and treatment regimes in dogs, cats and horses, please follow the links below.


